Triangular warning icon with an exclamation mark.
Winter Weather Shipping Delays Contact us

Due to inclement weather conditions there may be delays in our shipping services. Please note that your order could be impacted by these expected weather-related disruptions. Thank you for your understanding and support!

American Type Culture Collection (ATCC) Logo American Type Culture Collection (ATCC) Logo Cart 0
  • Quick Order
  • Careers
  • Support

Multipotency in Dental Stem Cells: SV40-Immortalized SCAP line DSCS Demonstrates Trilineage Differentiation into Chondrocytes, Osteocytes, and Adipocytes

Detailed 3D rendering of a tooth cross-section highlighting internal structures such as nerves and blood vessels, surrounded by healthy teeth on a white background. Perfect for dental education, oral health resources, and anatomy visuals.

Author: Erika Parasido, PhD
ATCC, Manassas, VA 20110

Abstract

Stem cells from the apical papilla (SCAP) are a distinct subset of mesenchymal stem cells (MSCs) located in the root apex of immature permanent teeth. Known for their role in root development and maturation, SCAPs have emerged as a promising resource for regenerative endodontics and broader tissue engineering applications. In this study, we confirm the multipotency of the novel SCAP line DSCS (ATCC® CRL-3558™) by assessing its ability to undergo trilineage differentiation into chondrocytes, osteocytes, and adipocytes. Our findings underscore the potential of SCAPs in regenerative medicine and their application in advancing dental tissue repair.

Download a PDF of this application note

Download

Introduction

During tooth root development, mesenchymal stem cells (MSC) from both the apical papilla (SCAPs) and dental follicle follow tightly regulated, lineage-specific differentiation pathways. SCAPs, located in the apical papilla region of immature permanent teeth (Figure 1), represent a unique and highly regenerative MSC population. Since their discovery in 2006, SCAPs have been studied for their ability to differentiate into odontoblasts (responsible for root dentin formation), osteoblasts, and neurogenic lineages1-3 when stimulated by respective inductive media.4 This versatility positions SCAPs as a valuable model for exploring dental tissue regeneration and broader therapeutic applications.

 

Cross-sectional diagram of a developing tooth showing dental pulp (DPSCs) in the center and apical papilla (SCAP) at the root tip, which decreases in size during root elongation. Fully mature roots lack apical papilla.

Figure 1: Cross-section diagram of a maturing tooth. SCAP are located at the growing part of the dental root and progressively decreases in size during root elongation. Fully mature roots do not present apical papilla. Created with BioRender.com.

 

Emerging research has highlighted the therapeutic potential of human SCAPs in addressing nerve injury-related complications, including restoring myelin damage.5 Their regenerative properties may also extend to chronic conditions such as fibromyalgia.6 Additionally, SCAP-derived exosomes have garnered interest for their ability to deliver bioactive molecules that enhance tissue regeneration without the risks associated with direct stem cell transplantation, making them attractive for bone, nerve, and pulp regeneration.7

Given their critical role in odontoblast-mediated root formation, SCAPs remain the most relevant model for studying apical periodontitis (AP) in young patients. Their regenerative versatility also supports applications in bone, nerve, and soft tissue repair. However, despite growing interest and extensive research, key challenges in maintaining SCAP stemness8 and ensuring long-term stability9 remain, which continue to limit their translational potential.

Here, we present the SCAP line DSCS (ATCC® CRL-3558™), a primary culture of human apical papilla stem cells immortalized through lentiviral infection with SV40LT  and confirmed to retain mesenchymal surface marker expression and multipotency by Sanz-Serrano et al.10 In the following study, we verify the trilineage differentiation of this cell line using our differentiation tools (ATCC® PCS-500-051™, ATCC® PCS-500-052™).

Materials and Methods

Cell line preparation

DSCS (ATCC® CRL-3558™) was expanded in accordance with ATCC standards in complete growth medium formulated with DMEM (ATCC® 30-2002™) supplemented with 10% Fetal Bovine Serum (ATCC® 30-2030™) and 2 mM Glutamine (ATCC® 30-2214™). Differentiation in chondrocytes, osteocytes, and adipocytes was subsequently assessed.

Chondrocyte differentiation

Cells were seeded at a density of 1.0x 104 cells/cm2 in three T225 flasks (Corning) with the complete growth medium. Cells were incubated at 37°C with 5% CO2 until confluence was achieved. A 1.5% (w/v) alginate solution in 150 mM NaCl was prepared in advance for use in bead formation; this solution can be stored at 4°C for up to one week.

When cells reached confluence, a fresh 100 mM CaCl2 solution was prepared. Cells were collected and formed into chondrogenic beads using the procedure as follows. Complete growth medium was discarded, flasks were rinsed with PBS (ATCC® 30-2200™), and cells were detached using trypsin (ATCC® 30-2101™). Total viable cells was assessed using Vi-CELL BLU Cell viability analyzer (Beckman) and 3.3 x 106 total viable cells were collected and centrifuged at 300 x g for 8 minutes. 75 mL of CaCl2 were maintained under gentle stirring by a magnetic bar in a 250 mL sterile beaker on top of a stirring plate, creating a funnel. 

After centrifugation, supernatant was discarded and the cell pellet was re-suspended in 400 μL of the 1.5% (w/v) alginate solution and transferred to a syringe (Figure 2A). Using a 27-gauge syringe needle, the alginate-cell suspension was slowly dispensed into the CaCl2 funnel to allow the formation of visible chondrogenic beads (Figure 2B). 

 

Diagram showing preparation of chondrocyte beads using alginate encapsulation: (A) cells suspended in alginate solution inside a syringe, and (B) cell suspension released dropwise into a CaCl₂ solution to form chondrocyte beads.

Figure 2: Preparation of chondrocyte beads using alginate encapsulation. (A) Cells suspended in 400 μL of alginate solution are transferred to the syringe. (B) Cell suspension in alginate is released drop wise into CaCl2 solution for the formation of chondrocyte beads. Created with BioRender.com.

 

These beads were subsequently separated using a 0.2 μm vacuum filter (Figure 3) and transferred to a 12-well plate (Corning), aiming for 1-2 beads per well. The beads were incubated at 37°C with 5% CO2 with ATCC Chondrocyte Differentiation Tool (ATCC® PCS-500-051™); medium changes were performed every 2 days over a 21-day period.

 

Diagram showing filtration and collection of chondrocyte beads: (A) beads in CaCl₂ solution being poured into a vacuum filter, and (B) beads retained on the filter while CaCl₂ solution collects in the bottom container.

Figure 3: Filtration and collection of chondrocyte beads. (A) Beads suspended in CaCl2 solution are transferred to a 0.2 um vacuum filter. (B) While the CaCl2 solution will be at the bottom of the bottle, the chondrocyte beads will stay at the top of the filter, ready to be removed and positioned in 12-well plates. Created with BioRender.com.

 

After 21 days of differentiation, the differentiation medium was discarded, and chondrogenic beads were transferred to a sterile tube (Corning) containing 4% paraformaldehyde solution (Alcian Blue Staining Kit, Lifeline Cell Technology, catalog number LL-0051). After 3 hours, paraformaldehyde was removed and 20% sucrose (Alcian Blue Staining Kit, Lifeline Cell Technology, catalog number LL-0051) was added for overnight incubation at room temperature. Histological slides were then prepared and stained with Alcian Blue to detect glycosaminoglycans (GAGs) and proteoglycans, which are critical components of the extracellular matrix in cartilage. Alcian Blue staining in the chondrogenic beads signifies successful cartilage-like matrix production, confirming effective chondrogenic differentiation (Figure 4).

 

Diagram illustrating Alcian blue staining of sulfated glycosaminoglycans in chondrogenic cultures, showing a blue circle with positive charges on the left and a cartilage matrix with purple cells and blue-stained GAGs on the right.

Figure 4: Alcian blue staining of sulfated glycosaminoglycans in chondrogenic cultures. Proteoglycans with branching glycosaminoglycans (GAGs; on the right) are associated with the small negative charge from sulfation and carboxylation. Alcian blue (on the left) stains sulfated GAGs in cartilage matrix deposition in chondrogenic cultures. Created with BioRender.com.

 

Osteocyte differentiation

Fibronectin (Millipore Sigma, catalog number F0895-1MG or equivalent) was diluted in sterile D-PBS (ATCC® 30-2200™) to a final concentration of 0.01 mg/mL. 0.5 mL of diluted fibronectin was added to a 6-well plate (Corning). After the plate had incubated for at least 20 minutes at 37°C, fibronectin was removed, and each well was washed once with D-PBS. The plate was then used immediately.

1.0 x 104 viable cells/cm2 were seeded onto fibronectin-coated wells and incubated in complete growth medium at 37°C with 5% CO2. Upon reaching 90% confluence, complete growth medium was removed, a D-PBS wash was performed, and Osteocyte Differentiation Tool (ATCC® PCS-500-052™) was added to each well.

The spent osteocyte differentiation medium was replaced with fresh osteocyte differentiation medium every 2 days for a total duration of 28 days, taking care to perform medium exchange gently to avoid detachment of the fragile differentiating cell monolayer. It was also crucial to minimize air exposure during medium replenishment.

After 28 days, mineralization was evaluated via Alizarin Red staining (Lifeline Cell Technology, catalog number CM-0058). Cells were gently washed once with D-PBS and each well was incubated with absolute ethanol for 30 minutes at room temperature. After ethanol removal, the wells were allowed to dry completely. The wells were then incubated in 2% Alizarin Red stain for a minimum of 15 minutes at room temperature, followed by one gentle wash with distilled water. This staining method forms complexes with divalent calcium ions, serving as a robust marker for calcification and mineralized matrix deposition, thereby validating osteoblast activity (Figure 5).

 

Diagram illustrating Alizarin Red staining of calcium deposits during osteogenic differentiation, showing a red circle representing the dye on the left and a matrix of pink cells with green calcium ions on the right.

Figure 5: Alizarin Red staining of calcium deposits during osteogenic differentiation. Alizarin Red (on the left) is an anionic dye that forms complexes with divalent calcium ions (Ca2+). When cells undergo osteogenic differentiation (on the right), calcium is present, and the dye binds to these ions. Created with BioRender.com.

 

Adipocyte differentiation

Fibronectin (Millipore Sigma, catalog number F0895-1MG or equivalent) was diluted in sterile D-PBS (ATCC® 30-2200™) to a final concentration of 0.01 mg/mL. A 0.5 mL aliquot of the diluted fibronectin was added to a 6-well plate (Corning). After the plate had incubated for at least 20 minutes at 37°C, fibronectin was removed, and each well was washed once with D-PBS (ATCC® 30-2200™). The plate was then used immediately.

Cells were seeded at a density between 6.0 x 104 and 8.0 x 104 on the fibronectin coated 6-well plate (Corning) and incubated at 37°C with 5% CO2 in complete growth medium until reaching 90-100% confluence. 

Once the desired confluence was reached, spent complete growth medium was removed, and AdipoLife DfKt (Lifeline Cell Technology, catalog number LL-0059) was used to induce differentiation. Medium was replaced every two to three days, without exposing the cell monolayer to air. The process was performed for at least 21 days, after which the spent medium was removed, and cells were fixed by adding 4% paraformaldehyde. Adipocyte formation was confirmed by Oil Red O staining (Figure 6). 

In brief, a 0.5% Oil Red O stain solution was warmed at 37°C for 30 minutes and filtered to remove small particles. Meanwhile, cells were incubated in 100% 1,2-Propanediol Dehydration Solution, which was removed after 5 minutes, followed by incubation with 0.5% Oil Red O stain solution at 37°C. After 30 minutes, Oil Red stain was removed and 85% 1,2-Propanediol Dehydration Solution was added for 1 minute at room temperature. Finally, each well was rinsed with 2 mL of distilled water, and the differentiation was documented. 

 

Diagram showing Oil Red O staining of lipid droplets during adipogenic differentiation: (A) red Oil Red O molecules on the left and (B) adipocyte with pink-stained lipid droplets inside the cell on the right.

Figure 6: Oil Red O staining of lipid droplets during adipogenic differentiation. Since the (A) Oil Red O stain has high solubility in lipoid substances, it is widely used to stain lipids. It is a great tool to visualize adipocyte differentiation since mature adipocytes accumulate lipid droplets. When applied, (B) Oil Red O molecules partition into the hydrophobic lipid droplets inside cells. Created with BioRender.com.

Results

All differentiation tests performed on the DSCS (ATCC® CRL-3558™) cell line confirmed the expected trilineage differentiation into chondrocytes, osteocytes, and adipocytes. Chondrocyte differentiation was demonstrated by the successful formation of chondrogenic beads exhibiting Alcian Blue staining (Figure 7), indicative of cartilage-like matrix production. Osteocyte differentiation was validated by Alizarin Red staining (Figure 8), which revealed mineralized matrix deposition—a hallmark of osteoblastic activity. Adipocyte differentiation was confirmed by the intracellular accumulation of Oil Red O stain (Figure 9).

 

Microscopic images showing Alcian blue staining of glycosaminoglycans after chondrogenic differentiation of DSCS cells: (A) 4X magnification of a cell aggregate stained blue and (B) 10X magnification showing detailed blue-stained GAGs distributed among differentiated chondrocytes.

Figure 7: Alcian blue staining of glycosaminoglycans after chondrogenic differentiation of DSCS cells. (A) 4X and (B) 10X resolution of alcian blue staining after the chondrocytes differentiation assay was performed on the DSCS (ATCC® CRL-3558™) cell line showed successful binding of Alcian blue to GAGs.

 

 

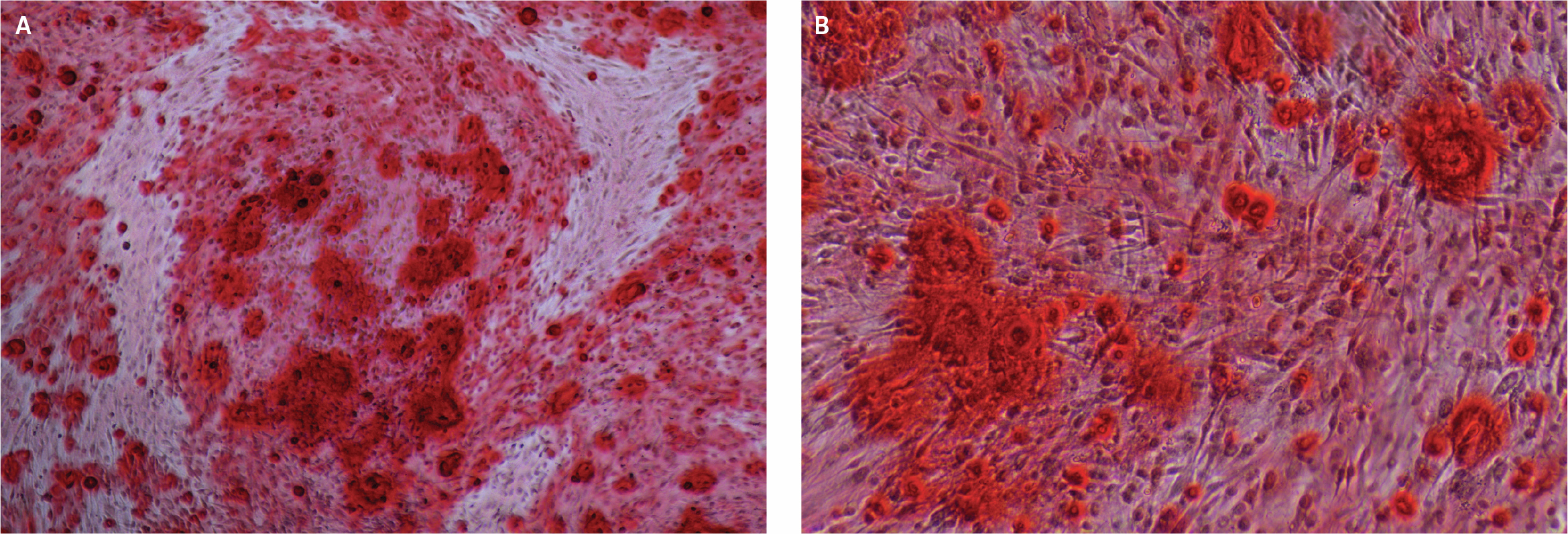
Microscopic images showing Alizarin Red staining of calcium deposits after osteogenic differentiation of DSCS cells: (A) 4X magnification of cell clusters with intense red staining and (B) 10X magnification revealing detailed red-stained calcium deposits within differentiated osteocytes.

Figure 8: Alizarin Red staining of calcium deposits after osteogenic differentiation of DSCS cells. (A) 4X and (B) 10X resolution of Alizarin Red staining after the osteocytes differentiation assay was performed on the DSCS (ATCC® CRL-3558™) cell line showed successful binding of Alizarin Red to calcium ions (Ca2+).

 

 

Microscopic images showing Oil Red O staining of lipid droplets after adipogenic differentiation of DSCS cells: (A) 20X magnification and (B) 10X magnification, with red-stained lipid droplets visible inside mature adipocytes indicated by arrows.

Figure 9: Oil Red O staining of lipid droplets after adipogenic differentiation of DSCS cells. (A) 20X and (B) 10X resolution of Oil Red O staining after the adipocyte differentiation assay was performed on the DSCS (ATCC® CRL-3558™) cell line. Successful adipocyte differentiation was confirmed by red oil molecules accumulated in the lipid droplet of mature adipocytes (arrows).

Conclusion

The SCAP line DSCS (ATCC® CRL-3558™) demonstrates robust multipotency, successfully differentiating into chondrocytes, osteocytes, and adipocytes. These findings highlight the potential of SCAPs in regenerative endodontics and broader tissue engineering context. By confirming the trilineage differentiation capabilities of DSCS, this study provides a foundation for future research aimed at optimizing SCAP-based therapies for clinical use, particularly in dental tissue repair and regeneration.

Download a PDF of this application note

Download
Pipette dropping clear media into cells well plate; 24 well plate in background.

Order the DSCS cell line

Order now

References

  1. Sonoyama W. Mesenchymal stem cell-mediated functional tooth regeneration in swine. PLoS One 1(1): e79, 2006. PubMed: 17183711
  2. Achilleos A, Trainor PA. Neural crest stem cells: discovery, properties and potential for therapy. Cell Res 22(2): 288-304, 2012. PubMed: 22231630
  3. Chen Y, et al. Epigenetic regulation of dental-derived stem cells and their application in pulp and periodontal regeneration. PeerJ 11: e14550, 2023. PubMed: 36620748
  4. Zhang J, et al. Nuclear Factor IC promotes proliferation and differentiation of apical papilla-derived human stem cells in vitro. Exp Cell Res 332(2): 259-266, 2015. PubMed: 25668322
  5. Dagnino APA, et al. Neural Regenerative Potential of Stem Cells Derived from the Tooth Apical Papilla. Stem Cells Dev 29(23): 1479-1496, 2020. PubMed: 32988295
  6. Dagnino APA. Stem cells from tooth apical papilla modulate fibromyalgia-like changes in mice. Brain Res Bull 222: 111257, 2025. PubMed: 39952442
  7. Zhuang X, et al. Exosomes Derived from Stem Cells from the Apical Papilla Promote Dentine-Pulp Complex Regeneration by Inducing Specific Dentinogenesis. Stem Cells Int 2020: 5816723, 2020. PubMed: 32565828
  8. Liu C, et al. Long-term exposure to pro-inflammatory cytokines inhibits the osteogenic/dentinogenic differentiation of stem cells from the apical papilla. Int Endod J 49(10): 950-959, 2016. PubMed: 26383494 
  9. Digka A, et al. Effect of Long-Term Cryopreservation on the Stemness of Stem Cells of Apical Papilla. Int J Dent 2022: 6004350, 2022. PubMed: 36606134
  10. Sanz-Serrano D, et al. Dental Stem Cells SV40, a new cell line developed in vitro from human stem cells of the apical papilla. Int Endod J 56(4): 502-513, 2023. PubMed: 36585930

Disclaimers

Lifeline Cell Technology is a registered trademark of Lifeline Cell Technology, LLC. BioRender is a registered trademark of Science Suite Inc. Corning is a registered trademark of Corning Incorporated. Vi-CELL BLU and Beckman Coulter are registered trademarks of Beckman Coulter, Inc. Millipore Sigma is a registered trademark of Merck KGAA.